·Î±×ÀΠȸ¿ø°¡ÀÔ À¯·á½Åû ¸¶ÀÌÆäÀÌÁö
 
  ÃÖÁ¾ÆíÁý:2025.12.08 17:34  

º¸°Ç/º¹Áö

°Ç°­/À£ºù

ÀǾà/Á¦¾à

ÀÇ·á/º´¿ø

Çѹæ/Ä¡°ú

Á¤Ã¥/Àλç

 
  Àå¾ÖÀΠ
Àüüº¸±â
º¸°Ç/º¹Áö
°Ç°­/À£ºù
ÀǾà/Á¦¾à
ÀÇ·á/º´¿ø
Çѹæ/Ä¡°ú
Á¤Ã¥/Àλç
 
´º½º Ȩ ÀÇ·á/º´¿ø  ±â»ç¸ñ·Ï
 
¼­¿ï´ëº´¿ø, ¡°Áõ»ó ¾ø¾îµµ ¿µ»ó¿¡¼­ º¸ÀÌ´Â ¸é¿ª°ü·Ã ÀÌ»ó¹ÝÀÀ, °£¼¼Æ÷¾Ï ¸é¿ªÄ¡·á ¿¹ÈÄ¿Í ¿¬°ü¡±
±â»çÀÔ·Â 2025-11-25 ¿ÀÈÄ 12:41:00 | ÃÖÁ¾¼öÁ¤ 2025-11-25 ¿ÀÈÄ 12:41:16

AteBeva Ä¡·á °£¼¼Æ÷¾Ï ȯÀÚ 198¸í ºÐ¼®...¿µ»ó ±â¹Ý ¹«Áõ»ó ¸é¿ª¹ÝÀÀ, µ¶¸³Àû ¿¹ÈÄ ÀÎÀÚ·Î È®ÀÎ

CT¿¡¼­¸¸ °üÂûµÈ º¯È­µµ »ýÁ¸±â°£¡¤Ä¡·á ¹ÝÀÀ·ü°ú À¯ÀÇÇÑ ¿¬°ü

 

 

   ¼­¿ï´ëº´¿ø ¿¬±¸ÆÀÀÌ °£¼¼Æ÷¾Ï ȯÀÚÀÇ 1Â÷ ¸é¿ªÇ×¾ÏÄ¡·á °úÁ¤¿¡¼­, ȯÀÚ°¡ Áõ»óÀ» ´À³¢Áö ¾Ê´õ¶óµµ CT¿¡¼­ ³ªÅ¸³ª´Â °æ¹ÌÇÑ ¸é¿ª°ü·Ã º¯È­°¡ »ýÁ¸±â°£ ¹× Ä¡·á È¿°ú¿Í ¿¬°üµÉ ¼ö ÀÖ´Ù´Â ¿¬±¸ °á°ú°¡ ³ª¿Ô´Ù. ÀÌ´Â ±×µ¿¾È ´Ü¼øÇÑ ÀÌ»ó ¼Ò°ßÀ¸·Î ¿©°ÜÁ³´ø ¿µ»ó º¯È­°¡ ½ÇÁ¦·Î´Â Ä¡·á °æ°ú¸¦ ¿¹ÃøÇÏ´Â ÀÇ¹Ì ÀÖ´Â ÁöÇ¥°¡ µÉ ¼ö ÀÖÀ½À» È®ÀÎÇÑ °ÍÀÌ´Ù.

 

 

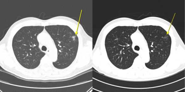
¡ã ¹«Áõ»ó ÀϽÃÀû ¸é¿ª°ü·Ã Æó·Å »ç·Ê: ÀÌ È¯ÀÚ´Â AteBeva Ä¡·á 3°³¿ù° ½ÃÇàÇÑ Àú¼±·® ÈäºÎ CT(¿ÞÂÊ)¿¡¼­ Æó ÁÖº¯ºÎ¿¡ ¹Ì¼¼ ¿°Áõ¼º À½¿µÀÌ ³ªÅ¸³µÀ¸³ª, 6°³¿ù° CT(¿À¸¥ÂÊ)¿¡¼­´Â ÀÚ¿¬ÀûÀ¸·Î ¼Ò½ÇµÇ´Â ¾ç»óÀ» º¸¿´´Ù. Ä¡·á´Â Áö¼ÓµÆÀ¸¸ç, ÀÌÈÄ ºÎºÐ °üÇØ(PR)¸¦ ´Þ¼ºÇß°í ÃÑ 19.7°³¿ù°£ ¹«ÁøÇà »ýÁ¸(PFS)À» À¯ÁöÇß´Ù.

 

°£¼¼Æ÷¾ÏÀº B¡¤CÇü °£¿°, °£°æº¯ µî ¸¸¼º °£Áúȯ ȯÀÚ¿¡¼­ ÁÖ·Î ¹ß»ýÇϸç Ãʱâ Áõ»óÀÌ °ÅÀÇ ¾ø¾î µÚ´Ê°Ô ¹ß°ßµÇ´Â °æ¿ì°¡ ¸¹´Ù. ÃÖ±Ù ¸é¿ªÇ×¾ÏÁ¦°¡ °£¼¼Æ÷¾ÏÀÇ Áß¿äÇÑ Ä¡·á ¿É¼ÇÀ¸·Î ÀÚ¸® Àâ¾ÒÁö¸¸, Ä¡·á Áß ³ªÅ¸³ª´Â ¡®¸é¿ª°ü·Ã ÀÌ»ó¹ÝÀÀ(irAEs)¡¯ÀÌ ½ÇÁ¦ ¿¹ÈÄ¿Í ¾î¶² ¿¬°üÀ» °®´ÂÁö´Â ÃæºÐÈ÷ ¾Ë·ÁÁ® ÀÖÁö ¾Ê¾Ò´Ù. ƯÈ÷ ȯÀÚ¿¡°Ô ºÒÆíÇÑ Áõ»óÀÌ ÀüÇô ¾ø´õ¶óµµ ¿µ»ó¿¡¼­¸¸ °üÂûµÇ´Â º¯È­°¡ ¾î¶² Àǹ̸¦ °®´ÂÁö´Â ´õ¿í ¿¬±¸°¡ ÇÊ¿äÇÑ »óȲÀ̾ú´Ù.

 

¼­¿ï´ëº´¿ø ¼ÒÈ­±â³»°ú À¯¼öÁ¾ ±³¼ö¡¤¹ÚÁ¦¿¬ Áø·á±³¼ö¿Í ¿µ»óÀÇÇаú À̵¿È£ ±³¼ö ¿¬±¸ÆÀÀº 2020³â 10¿ùºÎÅÍ 2023³â 6¿ù±îÁö ¾ÆÅ×Á¹¸®ÁÖ¸¿¡¤º£¹Ù½ÃÁÖ¸¿(AtezolizumabBevacizumab, AteBeva) º´ÇÕ¿ä¹ýÀ» ¹ÞÀº ÀýÁ¦ ºÒ°¡´É °£¼¼Æ÷¾Ï ȯÀÚ 198¸íÀ» ´ë»óÀ¸·Î Ä¡·á Áß ¹ß»ýÇÑ ÀÌ»ó¹ÝÀÀÀÌ ÀÓ»ó °æ°ú¿¡ ¹ÌÄ¡´Â ¿µÇâÀ» ÈÄÇâÀûÀ¸·Î ºÐ¼®ÇÑ ¿¬±¸ °á°ú¸¦ 25ÀÏ ¹ßÇ¥Çß´Ù.

 

 

¡ã (»çÁø ¿ÞÂʺÎÅÍ) ¼­¿ï´ëº´¿ø ¼ÒÈ­±â³»°ú À¯¼öÁ¾ ±³¼ö¡¤¹ÚÁ¦¿¬ Áø·á±³¼ö, ¿µ»óÀÇÇаú À̵¿È£ ±³¼ö

 

¿¬±¸ÆÀÀº Ä¡·á Áß ³ªÅ¸³­ ÀÌ»ó¹ÝÀÀ ¾ç»ó¿¡ µû¶ó ȯÀÚ¸¦ ¡ãÀÌ»ó¹ÝÀÀÀÌ ÀüÇô ¾ø´Â ¡®¹«ÀÌ»ó¹ÝÀÀ±º¡¯ ¡ãÀÓ»ó Áõ»óÀ̳ª Ç÷¾×°Ë»ç ÀÌ»óÀ» µ¿¹ÝÇÑ ¡®Áõ»ó¼º ÀÌ»ó¹ÝÀÀ±º(Áõ»ó±º)¡¯ ¡ãÁõ»óÀº ¾øÁö¸¸ CT¿¡¼­ Æó ÁÖº¯ºÎ ¹Ì¼¼ ¿°Áõ¼º À½¿µ, ÀϽÃÀû ´ëÀ庮 ºñÈÄ, Àå°£¸· ¿°Áõ, ¹ÝÀÀ¼º ¸²ÇÁÀý Á¾´ë µî ¸é¿ª¹ÝÀÀÀ¸·Î ÇØ¼®µÇ´Â º¯È­¸¸ ³ªÅ¸³­ ¡®¹«Áõ»ó ¿µ»ó ÀÌ»ó¹ÝÀÀ±º(¹«Áõ»ó ¿µ»ó±º)¡¯À¸·Î ºÐ·ùÇß´Ù. Àüü 198¸í Áß ¹«Áõ»ó ¿µ»ó±ºÀº 12¸í, Áõ»ó±ºÀº 56¸í, ¹«ÀÌ»ó¹ÝÀÀ±ºÀº 130¸íÀ̾ú´Ù.

 

ÀÌÈÄ ¿¬±¸ÆÀÀº ¼¼ ±ºÀÇ Àüü »ýÁ¸±â°£(OS), ¹«ÁøÇà»ýÁ¸±â°£(PFS), Áúº´Á¶Àý·ü(DCR) µîÀ» ºñ±³ÇØ ÀÓ»óÀû Àǹ̸¦ ºÐ¼®Çß´Ù. ±× °á°ú, ¹«Áõ»ó ¿µ»ó±º¿¡¼­ °¡Àå ¶Ñ·ÇÇÑ ¿¹ÈÄ °³¼± È¿°ú°¡ È®ÀεƴÙ.

 

 

¡ã ¹«ÀÌ»ó¹ÝÀÀ±º(Non-AE), ¹«Áõ»ó ¿µ»ó±º(Asymp AE), Áõ»ó±º(Symp AE)¿¡¼­ Àüü »ýÁ¸À²(OS, ¿ÞÂÊ)°ú ¹«ÁøÇà»ýÁ¸À²(PFS, ¿À¸¥ÂÊ)À» KaplanMeier °î¼±°ú ½Ã°£ Á¾¼Ó Cox ȸ±Í¸ðÇüÀ¸·Î ºñ±³ÇÑ °á°ú. ¹«Áõ»ó ¿µ»ó±º(ÆÄ¶õ»ö)Àº »ç¸Á À§Çè°ú Áúº´ ÁøÇà À§ÇèÀÌ °¡Àå ³·¾Æ Åë°èÀûÀ¸·Î À¯ÀÇÇÏ°Ô ¿ì¼öÇÑ ¿¹Èĸ¦ º¸¿´´Ù.

 

6¡¤12¡¤18¡¤24°³¿ù ½ÃÁ¡ÀÇ Àüü »ýÁ¸À²À» ºñ±³Çϸé, ¹«Áõ»ó ¿µ»ó±ºÀº °¢°¢ 100.0%, 82.5%, 82.5%, 82.5%·Î °¡Àå ³ô¾Ò°í, Áõ»ó±ºÀº 89.1%, 64.1%, 41.7%, 40.5%, ¹«ÀÌ»ó¹ÝÀÀ±ºÀº 72.3%, 48.3%, 31.3%, 19.4%¿´´Ù. Ä¡·á Áß Áõ»óÀÌ ¾ø´õ¶óµµ ¿µ»ó¿¡¼­ ¸é¿ª¹ÝÀÀÀ» º¸ÀΠȯÀÚµéÀÌ »ýÁ¸±â°£ ¸é¿¡¼­ ÁÁÀº °æ°ú¸¦ º¸ÀÎ °ÍÀÌ´Ù.

 

¶ÇÇÑ IPTW º¸Á¤À» Àû¿ëÇÑ ½Ã°£ Á¾¼Ó Cox ȸ±Í ºÐ¼®¿¡¼­µµ, ¹«Áõ»ó ¿µ»ó±ºÀº ¹«ÀÌ»ó¹ÝÀÀ±º¿¡ ºñÇØ »ç¸Á À§ÇèÀÌ ¾à 81% ³·¾ÒÀ¸¸ç(HR 0.19), Áõ»ó±º ¿ª½Ã ¾à 58% ³·Àº °ÍÀ¸·Î ³ªÅ¸³µ´Ù(HR 0.42). µÎ ±º ¸ðµÎ »ç¸Á À§ÇèÀÌ Åë°èÀûÀ¸·Î À¯ÀÇÇÏ°Ô ³·¾Ò´Ù(P=0.02). ÀÌ´Â Áõ»óÀÌ ¾ø¾îµµ ¿µ»ó¿¡¼­ º¸ÀÌ´Â º¯È­°¡ ½ÇÁ¦ »ýÁ¸±â°£¿¡ Áß¿äÇÑ ¿µÇâÀ» ¹ÌÄ¥ ¼ö ÀÖÀ½À» º¸¿©ÁØ´Ù.

 

¹«ÁøÇà»ýÁ¸±â°£(PFS) ¿ª½Ã ¹«Áõ»ó ¿µ»ó±º°ú Áõ»ó±º¿¡¼­ ´õ ±æ°Ô À¯ÁöµÆÀ¸¸ç, ƯÈ÷ ¹«Áõ»ó ¿µ»ó±ºÀº PFSÀÇ µ¶¸³ÀûÀÎ ¿¹ÈÄ ÀÎÀÚ·Î È®ÀεƴÙ. Áï, ¿µ»ó¿¡¼­ °üÂûµÇ´Â ÀÛÀº º¯È­¸¸À¸·Îµµ Ä¡·á °æ°ú¸¦ ¿¹ÃøÇÏ´Â µ¥ ÀÇ¹Ì ÀÖ´Â Á¤º¸¸¦ ¾òÀ» ¼ö ÀÖ´Ù´Â Àǹ̴Ù.

 

Ä¡·á ¹ÝÀÀ·ü¿¡¼­µµ Â÷À̰¡ ºÐ¸íÇß´Ù. ¹«Áõ»ó ¿µ»ó±ºÀÇ °´°üÀû ¹ÝÀÀ·ü(ORR)Àº 41.7%, Áúº´Á¶Àý·ü(DCR)Àº 100%·Î °¡Àå ³ô¾ÒÀ¸¸ç, Áõ»ó±ºÀº °¢°¢ 26.8%¿Í 92.9%, ¹«ÀÌ»ó¹ÝÀÀ±ºÀº 13.8%¿Í 60.0%·Î µÚ¸¦ À̾ú´Ù. À̴ ȯÀÚ°¡ Áõ»óÀ» ´À³¢Áö ¾Ê´õ¶óµµ CT¿¡¼­ º¸ÀÌ´Â °æ¹ÌÇÑ º¯È­°¡ Ä¡·á ¹ÝÀÀÀÌ ÁÁÀº ȯÀÚ¸¦ Á¶±â¿¡ ½Äº°ÇÏ´Â Áß¿äÇÑ ´Ü¼­°¡ µÉ ¼ö ÀÖÀ½À» ½Ã»çÇÑ´Ù.

 

À̹ø ¿¬±¸´Â ¸é¿ªÇ×¾ÏÄ¡·á Áß °üÂûµÇ´Â ¿µ»ó º¯È­°¡ ´Ü¼øÇÑ ºÎÀÛ¿ëÀ» ³Ñ¾î ȯÀÚÀÇ ¿¹Èĸ¦ Æò°¡ÇÏ´Â ÇÙ½É ÁöÇ¥°¡ µÉ ¼ö ÀÖÀ½À» º¸¿©ÁÖ¸ç, ÀýÁ¦ ºÒ°¡´É °£¼¼Æ÷¾Ï ȯÀÚÀÇ Ä¡·á Àü·«À» ¼¼¿ì´Â µ¥ Áß¿äÇÑ ±Ù°Å¸¦ Á¦°øÇÑ´Ù. ¿¬±¸ÆÀÀº ´Ù¸¸ ÁßÁõ ¸é¿ª°ü·Ã ÀÌ»ó¹ÝÀÀÀº ¿¹ÈÄ ¾ÇÈ­¿Í ¿¬°üµÉ ¼ö ÀÖ¾î º°µµÀÇ °ü¸®°¡ ÇÊ¿äÇÏ´Ù°í °­Á¶Çß´Ù.

 

À¯¼öÁ¾ ±³¼ö(¼ÒÈ­±â³»°ú)´Â ¡°È¯ÀÚ°¡ Ưº°ÇÑ Áõ»óÀ» ´À³¢Áö ¾Ê´õ¶óµµ ¿µ»ó¿¡¼­ ³ªÅ¸³ª´Â ¹Ì¼¼ÇÑ º¯È­¿¡´Â Áß¿äÇÑ Á¤º¸°¡ ´ã°Ü ÀÖÀ» ¼ö ÀÖ´Ù¡±¸ç ¡°Á¤±âÀûÀÎ ¿µ»ó°Ë»ç¸¦ ÅëÇØ ÀÌ·¯ÇÑ º¯È­¸¦ ¼¼½ÉÇÏ°Ô °üÂûÇϸé ȯÀÚÀÇ »óŸ¦ ´õ¿í Á¤È®ÇÏ°Ô ÆÄ¾ÇÇϰí Ä¡·á Àü·«À» º¸´Ù ¾ÈÀüÇÏ°Ô Á¶Á¤ÇÒ ¼ö ÀÖ´Ù¡±°í ¸»Çß´Ù.

 

À̹ø ¿¬±¸´Â ±¹Á¦ ÇмúÁö ¡®Liver Cancer¡¯ ÃÖ±ÙÈ£¿¡ °ÔÀçµÆ´Ù.

 



À̺´±æ ±âÀÚ bglee@newsonpeople.co.kr ÀÛ¼º±â»ç ´õº¸±â
 
 
 
 
³×ƼÁð Àǰß
Àüü 0   ¾ÆÀ̵ð ÀÛ¼ºÀÏ
 
Àǰ߾²±â
 
½ÃÁö¹ÙÀÌ¿À, ºê¶óÁú ÀÇ·áÁø ´ë»ó K-¿¡½ºÅׯ½ ¼ú±â ÀüÆÄ¡¦Áß³²¹Ì ½ÃÀå °ø·«
¡°K-ÀÇ·á°ü±¤, ±¹°¡Àü·«»ê¾÷À¸·Î À°¼º ÇØ¾ß¡±...±ÔÁ¦¿ÏÈ­¡¤ÀÎÇÁ¶ó±¸Ãà ÇÊ¿ä
 ±â»ç¸ñ·Ï º¸±â
 
  ÀÇ·á/º´¿ø ÁÖ¿ä±â»ç
ÀÎÈĵΠ¿ª·ùÁúȯ, ¾à¹°¡¤À½¼ºÄ¡..
º¸¶ó¸Åº´¿ø ¸Å°ÅÁø, 'º¸°Çº¹ÁöºÎ..
MRI ÃÔ¿µºñ¿ë º´¿ø°£ 'õÂ÷¸¸º°'..
°æÈñ´ëÇб³º´¿ø ·¹Áö´øÆ® Áö¿øÀ²..
¼ÛÆÄ±¸ º¸°ÇÁö¼Ò Áذø ¹× °³¼Ò½Ä..
¼ÛÆÄ±¸ º¸°ÇÁö¼Ò, 28ÀÏ °³¼Ò½Ä ..
Á¶±âÀ§¾Ï º¹°­°æ ¼ö¼ú ¾ÈÀü¡¦3³â..
º¸Çè°ø´Ü ¼ÛÆÄÁö»ç, º¸°Ç¼Ò¿Í¡¸..
 
 
ºÐ¾ßº° ÁÖ¿ä´º½º
Á¾ÇÕ ÀǾà/Á¦¾à ÀÇ·á/º´¿ø
°í·Á´ë ¾È¾Ïº´¿ø ¹Ú¿µºó ±³¼ö, ..
°í·Á´ë ¾È¾Ïº´¿ø °­¼®È£ ±³¼ö, ..
Á¤°æ¾Æ ÀÌ´ë¸ñµ¿º´¿ø ±³¼ö, ´ëÇÑ..
´ëÇÑÀü°øÀÇÇùÀÇȸ, ¿ä¼ÁÀÇ¿ø°ú ..
À¯°æÇÏ ÀÌÈ­ÀÇ·á¿øÀå, Å׵𽺠¾î..
°í·Á´ë ÀÇ´ë ÀÌÇöÁö ±³¼öÆÀ, ¹Ì..
º¹ÁöºÎ, ¡®2025³â Á¶Á÷¹®È­ °³¼±..
¼­¿ï´ëº´¿ø, ¡®Á¦Áß¿ø 140ÁÖ³â ..
¼­¿ï½Ãì¢, ÇÑÀÇ»ç ·¹ÀÌÀú ±³À° ..
°¡Ãµ´ë ±æº´¿ø ¾È°ú ½Å¿µÀÎ ±³¼ö..
 
¿À´ÃÀÇ Æ÷Åä
 
¹ÚÁ¤À² ´ëÇÑÀÇ»çÇùȸ ±¹Á¦Çù·ÂÀ§..
°í·Á´ë ¾È¾Ïº´¿ø ¹ÚÁ¤À² ±³¼ö, ..
°í·Á´ëÀÇ·á¿ø, ¹è¿ì Àα³Áø¡¤¼Ò..
 
 
°¡Àå ¸¹ÀÌ º» ´º½º
"³ªµµ Ä¿¼­ ÈǸ¢ÇÑ ÇÑÀǻ簡 µÉ..
¼­¿ï´ëÇб³º´¿ø Àλç
¼­¿ï´ëÇб³º´¿ø Àλç
¼­¿ï´ëÇб³º´¿ø Àλç
¼­¿ï´ëÇб³º´¿ø Àλç
"³ªµµ Ä¿¼­ ÈǸ¢ÇÑ ÇÑÀǻ簡 µÉ..
ȸ»ç¼Ò°³ ±¤°í¾È³» ÀÌ¿ë¾à°ü °³ÀÎÁ¤º¸Ãë±Þ¹æÄ§ À̸ÞÀϼöÁý°ÅºÎ ½Å¹®À±¸®°­·É ½ºÆÔ¹æÁöÁ¤Ã¥ µ¶ÀÚÅõ°í ±â»çÁ¦º¸
µî·Ï¹øÈ£: ¼­¿ï ¾Æ55813   µî·Ï¿¬¿ùÀÏ: 2025.2.7.  Á¦È£: ´º½º¿ÂÇÇÇà ¹ßÇàÀÎÆíÁýÀÎ: À̺´±æ 
¼­¿ïƯº°½Ã ¼ÛÆÄ±¸ °¡¶ô·Î 183 2Ãþ22È£  Tel: 02-3012-2080   Ã»¼Ò³âº¸È£Ã¥ÀÓÀÚ: À̺´±æ  
´ëÇ¥ºí·Î±×: https://blog.naver.com/newsonmedi
Copyright Ⓒ ´º½º¿ÂÇÇÇà All rights reserved.    E-mail: world4u@newsonpeople.co.kr 
Copyright(c)2025 ´º½º¿ÂÇÇÇà Corporation, All rights reserved.