¼¼ºê¶õ½ºº´¿ø ´Üµ¶ ½ÃÇà °Ë»ç¡¤Ä¡·á¹ý¡¦¿øÀÎ ±Ô¸íºÎÅÍ Ä¡·á±îÁö ¡®±¹³» ù ¼º°ø¡¯
°æ¸·ÇÏÃâÇ÷ Ä¡·áÇϰí, ±â¸³¼º µÎÅë»Ó¸¸ ¾Æ´Ï¶ó ÀÎÁö±â´É ÀúÇÏ‧º¸ÇàÀå¾Öµµ °³¼±
¼¼ºê¶õ½ºº´¿øÀÌ ¡®³úô¼ö¾× Á¤¸Æ ´©°ø¡¯ ȯÀÚÀÇ Áø´Ü°ú Ä¡·á¿¡ ±¹³» ÃÖÃÊ·Î ¼º°øÇß´Ù.
³úô¼ö¾× Á¤¸Æ ´©°øÀº Àڹ߼º µÎ°³³» Àú¾ÐÁõÀÇ µå¹® ÇüÅ Áß Çϳª·Î ³ú¸¦ º¸È£ÇÏ°í ³úÀÇ ¾Ð·Â(µÎ°³³»¾Ð)À» À¯ÁöÇÏ´Â ³úô¼ö¾×ÀÌ ¡®ºñÁ¤»óÀûÀÎ Åë·Î(fistula, ´©°ø)¡¯¸¦ ÅëÇØ ô¼ö ÁÖº¯ÀÇ Á¤¸ÆÀ¸·Î »õ³ª°¡´Â »óŸ¦ ¸»ÇÑ´Ù. ¸íÈ®ÇÑ ¿øÀÎÀÌ ¾øÀÌ ¹ßº´ÇØ Áø´ÜÀÌ ¾î·Á¿ì³ª °á°úÀûÀ¸·Î´Â ³úÀÇ ¾Ð·ÂÀ» ³·Ãç ¿©·¯ °¡Áö Áõ»óÀ» ÀÏÀ¸Å²´Ù.
ÀÏ¾î¼¸é µÎÅëÀÌ ½ÉÇØÁö´Â ±â¸³¼º µÎÅë, ÆÇ´Ü·ÂÀÌ ¶³¾îÁö°Å³ª ¹®Á¦ ÇØ°á·ÂÀÌ ³·¾ÆÁö´Â ÀÎÁö±â´É ÀúÇÏ, º¸ÇàÀå¾Ö±îÁö ¹ß»ýÇØ ÀÏ»ó¿¡ Å« ¿µÇâÀÌ ÀÖ´Ù.
ÀϹÝÀûÀÎ Àڹ߼º µÎ°³³» Àú¾ÐÁõ°ú´Â ´Þ¸®, ±× ¾ÆÇüÀÎ ³úô¼ö¾× Á¤¸Æ ´©°øÀº MRI¿¡¼´Â Á¤»ó ¼Ò°ßÀ» º¸ÀÏ ¼ö ÀÖ¾î ¿øÀÎ ±Ô¸íºÎÅÍ Ä¡·á±îÁö ³Ç×À» °Þ´Â ÁúȯÀÌ´Ù.
½ÇÁ¦·Î À̹ø¿¡ Ä¡·á¸¦ ¹ÞÀº ³úô¼ö¾× Á¤¸Æ ´©°øÀÌ ÀÖ´ø ȯÀÚ 4¸í ¸ðµÎ´Â ¼¼ºê¶õ½ºº´¿ø¿¡ ¿À±â Àü ³ú¾ÐÀÌ ³·¾ÆÁ® µÎÅëÀÌ »ý±â´Â ¡®Àڹ߼º µÎ°³³» ÀúÇÏÁõ¡¯ÀÌ ÀǽɵÆÀ¸³ª, ôÃß MRI¿Í ´Ü¼ø ô¼ö Á¶¿µ¼ú °Ë»ç¿¡¼´Â ÀüºÎ Á¤»ó ¼Ò°ßÀ» º¸¿´´Ù.
º»ÀÎÀÇ Ç÷¾×À¸·Î ³úô¼ö¾× ´©Ãâ À§Ä¡¸¦ ¸·´Â ÀÚ°¡Ç÷¾×ÆÐÃë¼ú µîÀ» ½ÃÇàÇØµµ Áõ»óÀÌ È£ÀüµÇÁö ¾Ê´ø ÀÌÀ¯´Ù. ÀÌ¿¡ ´õÇØ ¾Ð·ÂÀÌ ³·¾ÆÁø ³ú·Î ÀÎÇØ ³ú¸¦ °¨½Î´Â °æ¸·ÀÇ ³»ºÎ¿Í Á¤¸ÆÀ» À̾îÁÖ´Â ±³·®Á¤¸ÆÀÌ ²÷¾îÁ® °æ¸·ÇÏÃâÇ÷µµ ¹ß»ýÇØ ½º½º·Î º¸ÇàÀÌ ºÒ°¡´ÉÇÑ »óÅ¿´´Ù.
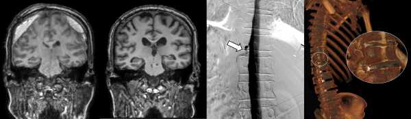
¼¼ºê¶õ½ºº´¿øÀº ÃÖ±Ù DSMÀ» ±¹³» ÃÖÃÊ·Î µµÀÔÇØ ÀÌ¿Í °°Àº ±âÁ¸ Áø´Ü¹ýÀÇ ÇѰ踦 ±Øº¹Çß´Ù. DSM(Digital Subtraction Myelography, µðÁöÅÐ °¨»ê ô¼öÁ¶¿µ¼ú)Àº ô¼ö¿¡ Á¶¿µÁ¦¸¦ ÁÖÀÔÇÏ°í ¸ð´ÏÅÍ È¸éÀ¸·Î ³úô¼ö¾×ÀÇ È帧À» ½Ç½Ã°£À¸·Î È®ÀÎÇÒ ¼ö ÀÖ´Ù. À̸¦ ÅëÇØ ³úô¼ö¾×ÀÌ »õ³ª°¡´Â ±¸¸ÛÀ» Á¤È®ÇÏ°Ô Ã£¾Æ³¾ ¼ö ÀÖ°Ô µÆ´Ù.
DSM°ú ´õºÒ¾î ¼¼ºê¶õ½ºº´¿øÀÌ ÇÔ²² ÁøÇà ÁßÀÎ ÃøÀ§ CT ô¼ö Á¶¿µ¼ú±îÁö, ¸ðµÎ ³úô¼ö¾× Á¤¸Æ ´©°øÀ» Áø´ÜÇÒ ¼ö ÀÖ´Â Ãֽбâ¹ýÀÌ´Ù.
¡ã (¿ÞÂÊ) DSMÀ¸·Î È®ÀÎÇÑ ´©°ø À§Ä¡, (¿À¸¥ÂÊ) ÃøÀ§ CT ô¼ö Á¶¿µ¼ú·Î È®ÀÎÇÑ ³úô¼ö¾× Á¤¸Æ ´©°ø 3D ¿µ»ó

½Å°æ°ú Àü¹®ÀÇ(Áֹΰæ, ÇϿ켮 ±³¼ö)¿Í ½Å°æ¿Ü°ú Àü¹®ÀÇ(ÇÏÀ± ±³¼ö)°¡ ±ä¹ÐÈ÷ Çù·ÂÇÏ´Â ¸¸Å Áø´Ü°ú Ä¡·áµµ ¿ø½ºÅéÀ¸·Î °¡´ÉÇÏ´Ù.
À̹ø¿¡ ¼¼ºê¶õ½ºº´¿øÀ» ãÀº ȯÀÚµéÀº DSM °Ë»ç¿Í ÃøÀ§ CT ô¼ö Á¶¿µ¼ú·Î ³úô¼ö°¡ »õ¾î³ª°¡´Â ºÎÀ§¸¦ Á¤È®È÷ Áø´Ü‧Ä¡·á¹Þ°í, ³ú¾ÐÀ» ȸº¹ÇßÀ¸¸ç °æ¸·ÇÏÃâÇ÷µµ »ç¶óÁ³´Ù. ÀÌ¿¡ µû¶ó ȯÀÚµéÀÌ º¸¿´´ø ÀÎÁö±â´É ÀúÇÏ¿Í º¸ÇàÀå¾Öµµ ¸ðµÎ È£ÀüµÆ´Ù.
¼¼ºê¶õ½ºº´¿øÀº ¿©·¯ Áø·á°ú Àü¹®Àǰ¡ ȯÀÚ ÇÑ ¸í¾¿ Ä¡·á Àü·«À» °í¹ÎÇÏ´Â ´ÙÇÐÁ¦ Áø·á¿Í 3D ½Ç½Ã°£ °Ë»ç¹ýÀÇ ¼±Á¦Àû µµÀÔÀÌ ±¹³»¼ óÀ½ ³úô¼ö¾× Á¤¸Æ ´©°ø Áø´Ü°ú Ä¡·á¿¡ ¼º°øÇÒ ¼ö ÀÖ´ø ±â¹ÝÀ̶ó°í ¹àÇû´Ù.
ÇϿ켮 ±³¼ö´Â ¡°Àڹ߼º µÎ°³³»¾Ð ÀúÇÏÁõ°ú Ưº°ÇÑ ¿Ü»óÀÌ ¾øÀÌ ¹ß»ýÇÏ´Â °æ¸·ÇÏÃâÇ÷ÀÇ ¿øÀÎ Áß Çϳª¿´´ø ³úô¼ö¾× ô¼ö ´©°øÀº µÎÅë, ÀÎÁö´É·Â ÀúÇÏ µî ½É°¢ÇÑ °íÅëÀ» ÀÏÀ¸Å°Áö¸¸, ±âÁ¸ Áø´Ü¹ýÀ¸·Î´Â ¿øÀÎ ±Ô¸íÀÌ ½±Áö ¾Ê´ø »óȲ¡±À̶ó¸ç ¡°¼¼ºê¶õ½ºº´¿øÀÌ µµÀÔÇÑ DSM°ú ÃøÀ§ CT ô¼ö Á¶¿µ¼ú·Î´Â ô¼ö¾× ´©ÃâÀÌ ¹ß»ýÇÏ´Â ÁöÁ¡À» Á¤È®È÷ ã¾Æ³» Ä¡·áÇÒ ¼ö ÀÖ´Ù¡±¶ó°í ¸»Çß´Ù.